Neues vom Feuerteich
27.Januar 26
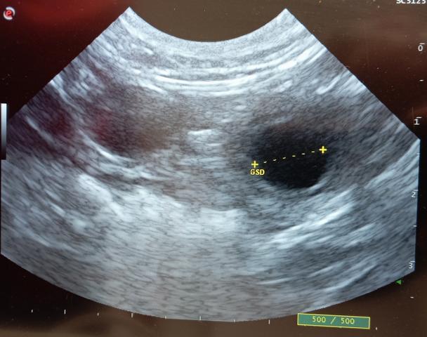
Heute waren wir mit Fiona zum Ultraschall. Es ist so wie vermutet, Fiona ist tragend. Auf dem Bild waren mehrere Fruchtanlagen zu sehen, nun sind wir gespannt wieviele Welpen in welchen Farben kommen, es könnten blonde, schwarze oder schwarzmarkene Welpen die Wurfkiste besetzen.
21.Januar 26
Unser F-Wurf feiert heute seinen zweiten.Geburtstag.
Viel habt ihr schon mit euern Familien erlebt und erreicht.
Farah hat ihre Begleithundeprüfungund erste Fährtenprüfung bestanden.
Außerdem haben Farah und Festus an der RZV-Jugendbeurteilungteilgenommen.
Das sind richtig tolle Erlebnisse ...aber egal was ihr auch macht und anstellt, wir sind mega stolz auf euch...

Herzlichen Glückwunsch zum Geburtstag
wir wünscheneuch Gesundheit und alles erdenklich Liebe...
daß ihr noch viele glückliche und gesunde Jahren mit euren Familien erleben dürft.
05.Januar 26
Heute sind alle Feuerteichler in ihren neuen Familien gezogen.
Was bleibt sind wunderbare Erinnerungen an einer sehr offene und temperamentvolle Bande.
Wir wünschen den kleinen Hovis' viel Spaß in ihren neuen Zuhause.
29.-31. Dezember 25
Detlef ist heute mit unserer blonden Fiona von der Sachsenperle zu Fredo vom TübingerTor gefahren.
Fiona ist am 30.12. und 31.12.25 erfolgreich vonFredo verführt und gedeckt worden.
Wenn alles gut läuft, wird unser H- Wurf um den 03.März 26 die Wurfstätte Feuerteich besetzen.
Für uns beginnt nun die Zeit des Wartens und hoffentlich wissen wir Ende Januar mehr...
dann geht's nähmlich, zwecks Ultraschall-Untersuchung, zu unsererTierärztin...

18. Dezember 25
Fiona ist seit heute läufig.
Das Abenteuer H- Wurf geht langsam los und die Vorfreude steigt,
obwohl uns die G-lies' zur Zeit richtig auf Trap halten...
Aber wie sagt man so schön`` Nach den Wurf - ist vor den Wurf ´´
Fredo wartet auf seine Braut
22.November 25
Farah vom Feuerteich hat heute mit grade mal 22 Monaten die FCI-IFH 1 in Magdeburg bestanden.
Ganz toll gemacht, kleine Maus, bei gefrosteten Boden hast du dich gut durchgekämpft.
Herzlichen Glückwunsch zur bestandenen Prüfung und weiterhin viel Spaß auf den Hundeplatz.
20.November 25
Seit heute ist die Planung komplett für uns abgeschlossen.
Als Rüden haben wir den schwarzmarkenden Fredo vom Tübinger Tor, den Bruder von unserer Ferenc.

15.November 25
Andreas hat heute mit Farah vom Feuerteich die Begleithundeprüfung in Delmenhorst bestanden.
Herzlichen Glückwunsch ihr zwei...habt ihr ganz toll gemacht.
09.November25
Heute hat der G-Wurf vom Feuerteich das Licht der Welt erblickt. Ferenc hat nun drei Rüden sm, einen Rüden,
drei Hündinnen sm an der Milchbar liegen.
Wir freuen uns riesig auf die kommenden acht Wochen.
Nähere Infos zu den G-Kindern gibt's hier...

30. September 25
Heute waren wir mit Ferenc beim Ultrachall und haben ihr Geheimniss gelüftet..
Ferenc ist tragend ,,Wir freuen uns riesig''
Jetzt werden so nach und nach alle Vorbereitungen für die Begrüßung der kleinen Feuerteichler getroffen...

13.September 25
Wir haben heute das HD- Ergebniss von Festus mitgeteilt bekommen, sein Ergebniss lautet HD-A2.
Wir freuen uns riesig mit Peter über die tolle Bewertung, wir feiern am nächsten Übungswochenende.
06. September 25
Unsere Ferenc wurde am 6.09. und 8.09.25 erfolgreich von Wanjo von der Jagsthöhe gedeckt .
In knapp 4 Wochen fahren wir zum Tierarzt zwecks Ultraschalluntersuchung und bis dahin heißt es abwarten
und Tee trinken, ob der harmomische Deckakt auch Früchte trägt...
Wir sind soooooo gespannt. Info zum G-Wurf

Danke an Imma und Arno fürs' bereitstellen euer tollen Rüden.
26. August 25
Ferenc ist seit heute läufig.
Das Abenteuer G-Wurf geht langsam los und die Vorfreude steigt,
obwohl sie uns ein wenig überraschte, da sie zwei Wochen zu früh kam..
aber so ist züchten eben...
Wanjo kann es kaum erwarten
20. August 25
Seit heute ist die G-Wurf Planung komplett für uns abgeschlossen.
Als ersten Rüden haben wir den schwarzmarkenden Wanjo von der Jagsthöhe.
Unser Ersatzrüde ist der schwarzmarkende Yako von der Jagsthöhe,
denn auch er würde sehr gut zu unserer Ferenc passen.
![]() |
![]() |
| Wanjo von der Jagsthöhe | Yako von der Jagsthöhe |
16.August 25
Heute hat Peter mit Festus an der Jugenbeurteilung in Delmenhorst teilgenommen.
Festus und Peter haben die Prüfung ganz toll abgelegt.
Mit viel Witz und Charme haben die Zwei die Spielstationen gemeistert.
Es war auf alle Fälle sehenswert, wie einfallsreich Peter sein kann, wenn es darum geht,
seinen Festus mit Lunte und Beißwurst wieder einzufangen.
Die anderen Stationen haben beide sehr gut absolviert und ich bin sehr stolz auf das Hund- Mensch-Team.
Denn für Peter war es die erste Teilnahme an so einer Zuchtveranstaltung.
Aber wie Peter mir sagte, will er noch mit seinen Jungen die ZTP machen--- es kann also nicht sooo schlimm gewesen sein.


6. August 25
Wir haben das erste HD Ergebniss unserer F-Feuerteichler mitgeteilt bekommem..
Farah vom Feuerteich hat eine A 2 Hüfte.
Herzlichen Glückwunsch wir feieren das tolle Ergebniss beim nächsten Lehrgang..

10.Mai 25
Heute haben Detlef und Ferenc auf der Frühjahrsprüfung in Delmenhorst die IFH IGP2 bestanden.
Herzlichen Glückwunsch ihr seid soooo fleißig..macht weiter so.. ihr seid ein tolles Team.

26. April 25
Heute waren Andreas und Farah auf der Zuchtveranstaltung in Delmenhorst.
Farah hat ihre Aufgaben super gemeistert und mit tollen Punkten bestanden.
Andreas und Farah ihr seid einfach ein tolles Team...
Herzlichen Glückwunsch und macht weiter sooo...

05. Febuar 25
Heute hat unsere Ferenc ihren vierten Geburstag.
Alles gute mein großes Mädchen zu deinen Geburtstag, wir möchten dich keinen Tag vermissen...

02. Febuar 25
Heute haben Detlef und Ferenc beim Hundesportverein Delmenhorst die IFH IGP 1 bestanden.
Ihr habt das wirklich super gemacht und in Mai könnt ihr dann ohne große Sorgen die IFH IGP2 in Angriff nehmen.
Viel Spaß weiterhin auf den Hundeplatz, ihr seht euer Fleiß wird ordentlich belohnt.

21. Januar 25
Unser F-Wurf feiert heute seinen ersten Geburstag.
Herzlichen Glückwunsch ...
unglaublich wie schnell die Zeit verfliegt... Grade lagen die F-lies noch wie Maulwürfei n der Wurfkiste
und nun sind es schon große und erwachsene Hovis.

Liebe F-lies Familie, hoffentlich habt ihr noch viel Freude an und mit eueren Feuerteichler. 
Allen Feuerteichler,Freunde, Bekannten und Besuchern unserer Webseite
schöne Weihnachten und ein tollen Start ins Jahr 25 sowie Gesundheit und Erfolg...

20. April 24
Heute hat Mandy mit Ferenc an der Frühjahrsprüfung in Delmenhorst teilgenommen.
Ferenc hat die FPr. 1 mit 80 Punkten bestanden.
Wir sind mega stolz auf unsere Maus die nach der Welpenpause ein so tolles Ergebniss erschnüffelt hat.

März 24
Alle F-lies haben das passende Zuhause gefunden haben.
Den neuen Besitzern wünschen wir viel Freude mit den kleinen Hovis. Wir freuen uns schon auf tolle Geschichten..
rund um euer neues Familienmitglied.

05.Febuar 24
Alles gute meine Rencili zum dritten Geburtstag, du bist bei deiner Großtante in sehr großen Tapsen gestiegen.
Aber hast sie mit deinem tollen Wesen, Arbeitsbereitschaft und Temperament voll ausgefüllt.
Jetzt begleitest du mich schon fast drei Jahre und ich möchte nicht einen Tag oder Sekunde mit dir missen.
Auch wenn du heute an deinem Geburtstag deine Aufgaben als Mama pflichtbewust wahrnimmst, werden wir dich mit Leckerchen und Streicheleinheiten verwöhnen.
21.Januar 24
Heute hat der F-Wurf vom Feuerteich das Licht der Welt erblickt. Ferenc hat nun zwei Rüden sm, einen Rüden blond, drei Hündinnen blond und zwei Hündinnen sm an der Milchbar liegen.
Wir freuen uns riesig auf die kommenden acht Wochen.
Nähere Infos zu den F-Kindern gibt's hier....

19.Dezember 23
Heute waren wir mit Ferenc beim Ultraschal und wir sahen schwarz auf weiß,
was wir die ganze Zeit schon geahnt haben.
Ferenc und Django von der Sachsenperle werden Eltern.
Wir freuen uns riesig, um den 22.01.24 lauter kleine Feuerperlchen begrüßen zu dürfen.
21.November 23
Gestern und heute deckte Django von der Sachsenperle unsere Ferens erfolgreich.
Wenn alles gut läuft werden um den 22.Januar kleine Perlchen in die Wurfkiste purzeln.
Wir sind soooo gespannt... .
Infos zum F-Wurf

16. November 23
Jetzt steht es fest:
Django von der Sachsenperle wird der Deckrüde unseres F-Wurfes.

15. November 23
Heute bekamen wir Post vom RZV mit der Bestätigung, dass unsere Ferenc jetzt offizielle Zuchthündin im RZV ist.
11.November 23
Ferenc hat mit Mandy die BH Prüfung bestanden. Wir sind sehr stolz,dass das so gut geklappt hat und freuen uns auf die weitere Arbeit im IGP- Sport.

10. November 23
Ferenc ist seit heute Läufig.
Nun beginnen wir mit der Vorbereitung der Wurfplanung.
28. Mai 23
Heute fand durch unsere LG Zuchtwartin C. Bode die Wurfstättenabnahme statt . Sie war mit den Räumlichkeiten zufrieden und gab uns die Genehmigung, dass wir züchten dürfen.
Vielen Dank für den schönen Nachmittag. Nun kann die Suche nach einen passenden Rüden für Ferenc beginnen.
Wir werden zur passenden Zeit darüber berichten.
30. März 23
Ferenc war heute in Bremen zur Augenuntersuchung,wo uns der Tierarzt bescheinigte das alles in Ordnung ist.Und somit haben wir den letzten Mailen-Stein in Richtung Zucht gemeistert.
Ferenc vom Tübinger Tor ist eine Zuchthündin im RZV. Wir freuen uns total und sind ganz Dankbar das uns die Züchter eine sooooo tolle Hündin gegeben haben.
26.März 23
Heute legte Ferenc ihre ZTP ( Zuchttauglichkeitsprüfung) in Delmenhorst mit ihrer Hundeführerin Mandy erfolgreich ab. Wir freuen uns riesig, super gemacht kleine Maus.

14.April 22
Heute waren wir mit Ferenc bei der Ausstellung in Lingen, unter den strengen Augen von E.Hohmann erlief sich Ferenc mit Mandy in der Zwischenklasse ein SG1 Klasse gemacht, wir sind mega stolz auf dich ….
02.Juni 23
Wir haben heute Post vom RZV bekommen ,,Ferenc hat eine A2 Hüfte ´´ wir freuen uns riesig...
26.März 22
Ferenc legte heute in Delmenhorst, mit Mandy den ersten Grundstein für die Zucht. Unter den strengen Augen des Zuchtrichters Heiko Dresler bestand sie ihre JB (Jugendbeurteilung) mit bravo.
Wir sind mega stolz eine so tolle Hündin zu haben und freuen uns den ersten Meilenstein in Richtung Zucht gemeistert zu haben...



Die Geschichte im Zwinger Feuerteich geht weiter …...
Und so zog im April 2021 Ferenc vom Tübinger Tor bei uns ein, dieses kleine Fellbündel stellt mein Leben und das Leben meiner alten Hovi-Dame Xenia total auf den Kopf
31.03.14
Xenia ist leider leer geblieben - wir werden wohl noch länger auf den F-Wurf warten müssen.
06.03.14
Xenia ist diese Woche von Festus (Sam) vom Hause Luka belegt worden.
27.01.14
Elana hat die BH bestanden Herzlichen Glückwunsch wir freuen uns riesig mit euch


